首页
搜索
分类
账户
访客
登录
购物车
收藏 (
0
)
品牌
0
购物车
0
收藏
订单
报价
首页
联系我们
0
0
登录
联系我们
商店
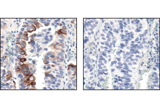
Phospho-mTOR (Ser2448) (49F9) Rabbit mAb (IHC Specific)
Phospho-mTOR (Ser2448) (49F9) Rabbit mAb (IHC Specific)
/shop/003-2976l-phospho-mtor-ser2448-49f9-rabbit-mab-ihc-specific-300ul-25437
期货待确认
¥
12,390.00
12390.0
CNY
¥
12,390.00
¥
12,390.00
此组合不存在。
加购物车
添加收藏
目录号:
2976L
计量单位:
PC
商品规格:
300ul
CST
分享商品:
Phospho-mTOR (Ser2448) (49F9) Rabbit mAb (IHC Specific)
¥
12,390.00
规格
无规格
这是用户近期浏览商品预览.
只要用户查看过一个商品这个片断就会显示.
×
近期浏览商品